キレイな歯で自信を取り戻しませんか?

「長い間放っておいたら歯がボロボロになってしまった」
「若いのに(20〜40代)歯がボロボロで恥ずかしい」
「歯がボロボロすぎて歯医者に行けない」
このように悩んではいませんか?
「歯がボロボロ」な場合は口の中全体の治療が必要なことが多く、治療の手順も複雑になります。当院では治療開始前に意見交換と説明を行い、治療完了までの治療計画を立て、納得して頂いてから治療を開始するようにしています。
歯医者に行くことが難しい状況や、その中で抱える心の重さがあることを私たちは理解しています。その気持ちに配慮しながら、少しでも安心して治療を受けていただけるよう、お手伝いさせていただきます。

患者さんの中には「歯がボロボロ過ぎて歯医者にいけない」と考える方がいますが、私たちは歯の専門家です。どんなにボロボロな歯の状態でもキレイな歯を入れることができます。自分の歯が1本もなくても(あるいは状態が悪く抜歯になる場合でも)、歯を作ることができますので、どうかご安心ください。
お口の中の状態は心身の健康に影響を与えます。今は歯科医院への不安や恥ずかしさが先行しているかもしれませんが、それを解消することが将来のあなたの笑顔に繋がるのです。
「歯がボロボロ」とはどのような状態でしょうか?
実は「歯がボロボロ」という状態は患者さんによってかなり差があります。これは「歯がボロボロ」という言葉が個人の主観に基づいた言葉だからです。その人が「歯の状態が悪いと認識している」という意味しかないため、患者さんの感覚の違いによって歯の状態が異なります。



前歯など見た目を気にして来院される患者さんは多いです。見える部分だけの簡単な治療で解決できる患者さんもいますが、長らく歯科医院へ通院していない患者さんの場合は他にも問題があることが多いです。特に奥歯の噛み合わせがしっかりしていないと、長持するキレイな前歯を入れることはできないため、そのような場合は全体の治療をする必要があります。
見た目以外は全身の健康、将来の健康を心配されて来院される患者さんが多いです。このような患者さんに多いのはしっかり噛めないという主訴です。栄養は全身の健康に直結しますから、食べ物を十分に咀嚼できない状態は健康を害しやすいです。歯の健康を維持することで、単に長生きするだけでなく、元気に過ごせる期間を延ばすことができるのです。
歯がボロボロな方の治療方針
「歯がボロボロ」と言っても程度が様々なので、治療法も一概には言えません。しかし、どんな状態であっても、治療により改善することが可能です。「見た目がキレイで、よく噛める状態」が治療のゴールになります。

「歯がボロボロ」な方に共通しているのは、「歯を失うスピードが早い」ということです。この原因を分析せずに治療を行っても上手くいきません。
歯が悪くなる原因は、「虫歯」、「歯周病」、「噛み合わせ」などがありますが、「歯がボロボロ」だと自覚している患者さんは同世代の人と比べて、これらが悪化する速度が早いです。なぜ「歯科疾患が進行する速度が早い」のか?この原因を解決できなければ、せっかく治療をしても再発する可能性が高いのです。実際に、長年歯科医院に通院しているにも関わらず、歯の状態が年々悪化している患者さんは非常に多いです。
このようなことにならない為に、当院では詳しい検査を行なっています。十分な検査を行い、歯の状態が悪化した原因の分析をしてから治療を開始します。治療に際しては十分に時間を確保し、最良の材料・治療法を選択した質の高い歯科医療で、できる限り再発しない治療を心がけています。
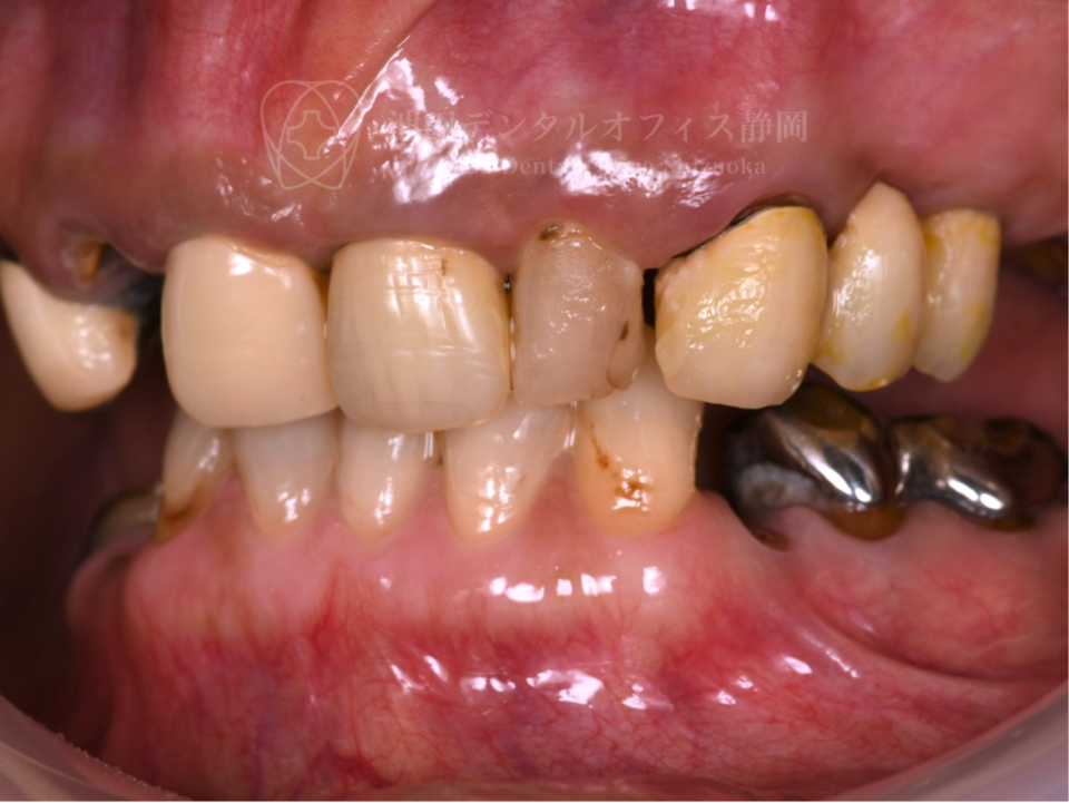
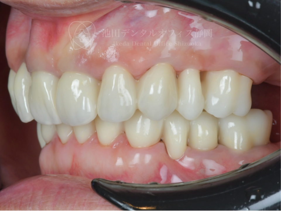
全顎治療で見た目と噛み合わせの改善を行った症例
過去にいろんな歯医者で部分的な治療を受けた結果、噛み合わせがずれ様々な問題を抱えていた患者さんです。全体の治療を決意され、他県から新幹線を乗り継いで通院していただきました。


歯科恐怖症のため静脈内鎮静法で治療を行った症例
長年歯科へ通院できず、状態が悪化したため「歯医者に行くのも恥ずかしい」と悩んでいた患者さんです。歯の状態が悪く抜かなければいけない歯もありましたが、インプラント治療をしたくないとの希望があったため歯の移植などを行いできる限りご自身の歯を残しました。
歯科に対する恐怖心が強く、ご本人への負担が大きい治療は麻酔科の先生と連携して静脈内鎮静法で治療を行いました。移植後のセラミック治療により見た目と噛み合わせを改善しています。


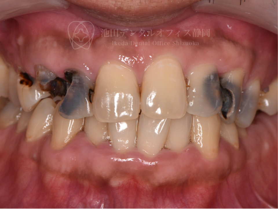
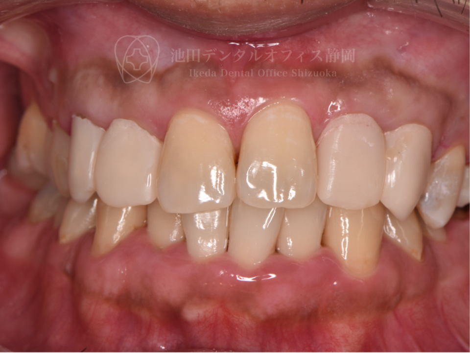
むし歯で歯がボロボロな症例
歯科への通院ができず、むし歯が悪化してしまった患者さんです。仕事の立場上表に出る機会が増えたが、歯が気になって笑えないとお悩みでした。見えない奥歯にも問題があり、当院にてインプラント・マウスピース矯正を含めた全顎治療を受ける決断をしていただきました。一回の治療時間を長く確保することで、治療2回目で見える範囲の虫歯治療を完了しています。


治療手順・治療方法
基本的に現在残っている歯で治療可能な歯は出来るだけ残し、治療不可能な歯は抜歯した後に人工材料で歯を作る必要があります。歯を残す治療よりも、抜歯をしてインプラント治療を行った方が簡単な場合もありますが、安易な抜歯はお勧めしません。
治療の手順としては、感染を取り除く治療(虫歯治療や抜歯など)と、歯をつくる治療(セラミックやインプラントなど)があります。基本的には感染を取り除く治療が終わった後に歯を作る治療を進めることになります。それまでの間は仮歯などで対応することになります。
一見、歯がボロボロでも歯の根がしっかりしている場合には、差し歯などで歯を作り治すことが出来ます。それが難しい場合にはインプラントやブリッジ、入れ歯などで対応することになります。
どの方法でも歯を作ることは出来ますが、大きな選択基準として取り外しを許容できるか否かがあります。食後や寝る前に歯を外して洗浄することを許容できるのなら入れ歯が選択肢に入りますが、歯を取り外すことを許容出来ない場合にはそれ以外の治療法を選択する必要があります。
取り外しを許容できない場合
- 差し歯(ブリッジ)
- インプラント
取り外しを許容できる場合
- 通常の入れ歯
- インプラントで固定出来る入れ歯 など
当院の治療の特徴
01
難症例に対応可能
実際に他院で抜歯をしてインプラントと言われたという患者さんの歯でも、治療により治すことが出来る場合があります。どのような場合が該当するかというと、根管治療が必要な場合です。根管治療は、マイクロスコープ(歯科用顕微鏡)やラバーダムの有無により治療の成功が左右されます。そのため、マイクロスコープやラバーダムを使用せずに治療をして治らないと言われた場合には治療が出来る可能

02
十分な検査と丁寧なカウンセリング
当院では治療前のカウンセリングと検査、治療の説明に十分な時間を確保しています。歯科治療は歯の状態により様々な治療法があります。せっかく治療をしても、患者さんが考えていた様な結果が得られないのであれば十分な治療とは言えないでしょう。この問題を解決するためには、どの様な治療を希望しているのか?どんなことを優先して治療を進めたいのか?など患者さんが望むことと、それを実現するためにはどの様な治療が必要なのかを患者さんと歯科医師の間で共有する必要があります。治療を進めてしまうと後戻り出来ないので、治療前に十分な検査をして最終的なゴールをどこに設定するのかよく話合ってから治療を開始します。

03
安心の実績と最新の設備
当院では日本口腔インプラント学会の専門医である歯科医師が治療を担当します。インプラント治療に関しては、インプラント1本の治療はもちろん、全顎に渡る複数本のインプラント治療やインプラント義歯まで様々な治療に対応可能です。また、インプラントの欠点も理解しているからこそ天然歯(自分の歯)を残すことが重要である考えています。歯を残すための精密根管治療や歯周外科治療にも対応可能です。これらの総合的な歯科治療に必要な歯科用CTやマイクロスコープなど設備も充実していますので、精度の高い歯科治療を提供出来ます。

04
「歯」ではなく「人」を診る診療
当院は、患者さんと歯科医師が信頼関係を築けなければ良い医療は提供できないと考えています。歯科治療において治療の技術や設備が整っていることはもちろん必要ですが、それだけで質の高い医療は実現できないのです。よく言われることですが、”歯”しか見ていない歯医者は多いです。患者さん一人ひとりに事情があり、望むものが違うのですから来院する”人”を受け入れる姿勢がなければ良い医療は提供できないでしょう。当院では来院した患者さんにとっての最善は何なのかを考え、日々診療を行っています。

ボロボロの歯を早く治したい方へ
当院は通常の歯科医院と異なり、診療する患者さんの数を制限しています。そのため、希望があれば半日や一日など長い時間を確保することが可能です。 また、当院は完全自由診療を行っているので、保険の制約を受けずに必要な治療だけを行うことが出来るため、無駄のない治療を行うことが可能になります。ただ、当院の短期集中治療は、治療に必要な手順を省略する訳ではなく、長時間の予約をとったり、通院の頻度をあげたり、効率的に治療を行うことで実現します。治療期間を短縮するために治療の質を落とすことはありませんのでご安心ください。
歯がボロボロになる原因

歯が悪くなる原因は大きく分けて虫歯、歯周病、噛み合わせの3つです。これらを悪化させる要因が多ければ歯がボロボロになりやすいです。
歯がボロボロになる習慣
- 適切な歯科治療が受けられない環境や生活習慣
- 仕事が忙しく歯医者に通院出来なかった
- 転勤が多く、まとまった治療が受けられなかった
- 歯科に対する恐怖心が強く、まともに受診が出来なかった など
- 虫歯や歯周病を悪化させやすい習慣
- 歯磨きをする習慣がない(時間や頻度が十分でない)
- 甘い物を良く食べる・間食が多い
- 酸性の飲み物を頻繁に飲む
- 喫煙をする
- 糖尿病などの全身疾患を悪化させる習慣 など
- 歯に負担がかかりやすい習慣
- 力仕事やスポーツ、集中力のいる仕事などで食いしばっている
- 特定の歯で固いものを噛む仕事や趣味をしている(歯で釘を加える、楽器を噛むなど)
その他の原因

- 口の中に病原性の高い細菌が多いと虫歯や歯周病が悪化しやすい
- 虫歯や歯周病への抵抗力が弱い人は虫歯や歯周病が悪化しやすい
- 噛み合わせが乱れていると特定の歯に負担がかかりやすく、歯が悪くなりやすい(受け口や八重歯など)
治療の流れ
01
初診・カウンセリング|1回目/約1時間
初診時に当院の診療方針の説明と、カウンセリング、簡単な検査を行います。カウンセリングでは「何に困っているのか」「どのような歯科治療を望んでいるのか」など、歯科医師が詳しくお話を伺います。あなたのお悩みをお聞かせください。(強い痛みがある場合など緊急性が高い場合には応急処置を優先することもあります。)

02
歯科ドック(検査一式)|2回目/約1時間
原則として、治療前には歯科ドックを受けていただきます。歯科ドックでは現在のお口の中の状態と、歯科疾患の原因を理解するため、細菌検査や咬合診査など10項目以上の項目で細かく調べます。必要な検査を追加するので、患者さんごとに検査項目が異なる場合があります。

03
歯科ドック(検査結果説明)|3回目/約1時間
検査結果をもとに、現在の状態やどうしてこうなってしまったのか説明を行います。ご自身のお口の中の状態を正しく理解することは、患者さん自身が適切な治療を選択する上でとても重要です。できるだけわかりやすい資料を用意して、正しく理解出来るようお手伝いします。

04
治療内容説明|4回目/約1時間
現在の状態から問題を改善し、長く健康な歯を維持するために最善の治療計画を立案します。この段階で、治療完了までのすべての治療計画と治療費の総額をご提示いたします。これを基に必要があれば治療計画を修正します。

05
治療開始|5回目以降
治療計画に基づき治療を進めます。治療には最善と考えられる治療法や歯科材料を使用します。また、痛みなど治療中の苦痛ができるだけない様に配慮しています。効率の良い治療を行うことによって、一般的な歯科医院よりも早く治療を進めることが可能です。

06
再評価・メインテナンス|治療終了後
治療の結果を再評価します。定期的にメインテナンスを行うことで、治療によって得られた良い状態を維持できるようサポートします。

治療のゴール
治療のゴールを簡単に言うと、よく噛めて、見た目がキレイな状態です。
もちろん、歯の形や骨格など個人差はありますが、治療のゴールは共通です。
50代 女性

60代 男性

他にどんな歯科治療を お探しですか?
静岡市葵区の歯医者「池田デンタルオフィス静岡」では、再治療が少なく、長期的に安定する治療を提供します。
日本の歯科治療は、痛みを取り除く治療(対処療法)は得意ですが、問題の原因を解決する治療(原因療法)は苦手な傾向にあります。当院では、問題の原因を解決する治療で、お口の中の状態を長期的に安定させることを目指して治療を行います。

[ 記事監修 ]
池田デンタルオフィス静岡
院長:池田 憲吾(いけだ けんご)
- 日本口腔インプラント学会 専門医
- 日本口腔インプラント学会 専修医
- インビザライン認定医
2015年に日本大学歯学部を卒業後、勤務医を経て2023年に自由診療専門の池田デンタルオフィス静岡を開院。患者さんの生活の質向上を目的に、精密な診査と緻密な治療計画に基づき、一人ひとりに最適な治療を提供する。
