正しい歯の状態とは

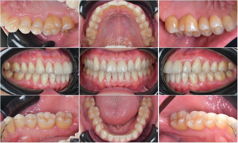
歯のことで悩んでいる人は多いと思いますが、人の歯をじっくり見た経験を持つ人は少ないと思います。そもそも正しい歯の状態とはどのような状態でしょうか?例として当院の院長の歯をお見せします。

歯の形や顎の骨の大きさ等に個人差はありますが、このような状態が一つ正しい歯の状態と言えるでしょう。ちなみに、院長は中学生〜高校生の時期に一度ワイヤー矯正を受け、後戻りを治すために30代でマウスピース矯正(インビザライン)での再治療を受けています。
歯が悪くなるのには必ず原因があります。主な原因は「細菌」と「噛み合わせ」です。これらのリスクは人によって違いますが、正しい歯の状態を理解することは自分の今の状態を理解する助けになります。正しい歯の状態5項目を紹介します。
正しい歯の状態5項目
01
病的な細菌感染がない(虫歯、歯周病)
歯が悪くなる原因である虫歯や歯周病は細菌感染が原因の疾患です。口の中を無菌にすることはできませんが、感染症はある程度コントロールすることができます。
病的な細菌感染がないことは健康な歯を維持するのに必要な条件です。

02
奥歯の噛み合わせがしっかりしている
私たちは顎の関節を中心に下顎を動かすことで食物を噛んで食事をしています。
奥歯の噛み合わせがしっかりしていないと、物を良く噛む事ができないだけでなく、他の歯に負担をかけることにもなるので歯の健康を損いやすくなります。奥歯の噛み合わせがしっかりしていることは健康に生活するために必要な条件です。

03
前歯の噛み合わせがしっかりしている
歯の健康を保つためには奥歯の噛み合わせだけでなく前歯の噛み合わせも重要です。
真っ直ぐ噛んだ時に奥歯が当たるのは当然なのですが、前後左右に動かした時には上下の前歯が当たって奥歯は離れるのが正しい噛み合わせです。前歯の噛み合わせがしっかりしていないと奥歯に負担がかかり、奥歯が悪くなる原因になります。前歯の噛み合わせがしっかりしていることは奥歯を健康に保つために必要な条件です。

04
顎の関節と調和している
噛み合わせは歯の位置と、顎の関節の位置で決まります。正しい噛み合わせは顎の正しい位置で噛んだ時に、歯も正しい位置で噛む状態です。
実際にこの2つが完全に一致している人は少ないですが、大きくズレていると特定の歯が悪くなったり、顎の関節の不調が現れたりする原因になります。歯の噛み合わせが顎の関節と調和していることは、歯を守り快適に生活するために必要な条件です。

05
見た目が美しい
歯は食べ物を噛むなどの機能だけでなく、見た目の美しさも重要です。社会生活を営む私たちにとって他人からどう見られるかは重要な要素です。
歯が美しいだけで相手に与える印象は全く違ったものになります。歯にコンプレックスがあると人前で素直に笑えないように、歯の状態は自分自身の行動にも影響を及ぼします。より良い生活を送るために歯の見た目が美しいことは必要な条件です。

噛み合わせに関して言うと、「真っ直ぐ噛んだ時には奥歯がしっかり当たるけど、前後左右に動かした時には前歯が当たって奥歯が当たらない」のが正しい噛み合わせです。このような噛み合わせが確立されていないと、負担のかかる歯に様々な不具合が起こります。
もしあなたが歯の悩みを抱えているなら、これらの条件のうちのどれかもしくは、これらの条件の複数が満たされていないのではないでしょうか。
これらは健康な歯の条件ですが、同時に治療のゴールとして目指すべき状態でもあります。当院では適切な検査を行い、歯の病気の原因が何なのか考えた上で治療計画を立案します。その上で、正しい歯の状態を実現するために最善を尽くします。
他にどんな歯科治療をお探しですか?
静岡市葵区の歯医者「池田デンタルオフィス静岡」では、再治療が少なく、長期的に安定する治療を提供します。
日本の歯科治療は、痛みを取り除く治療(対処療法)は得意ですが、問題の原因を解決する治療(原因療法)は苦手な傾向にあります。当院では、問題の原因を解決する治療で、お口の中の状態を長期的に安定させることを目指して治療を行います。

[ 記事監修 ]
池田デンタルオフィス静岡
院長:池田 憲吾(いけだ けんご)
- 日本口腔インプラント学会 専門医
- 日本口腔インプラント学会 専修医
- インビザライン認定医
2015年に日本大学歯学部を卒業後、勤務医を経て2023年に自由診療専門の池田デンタルオフィス静岡を開院。患者さんの生活の質向上を目的に、精密な診査と緻密な治療計画に基づき、一人ひとりに最適な治療を提供する。
